Ecosite Elements поразит вас превосходными результатами во всех сферах применения. Простой, универсальный, эффективный.
Интеллектуальная система оттенков
Точность проектирования.
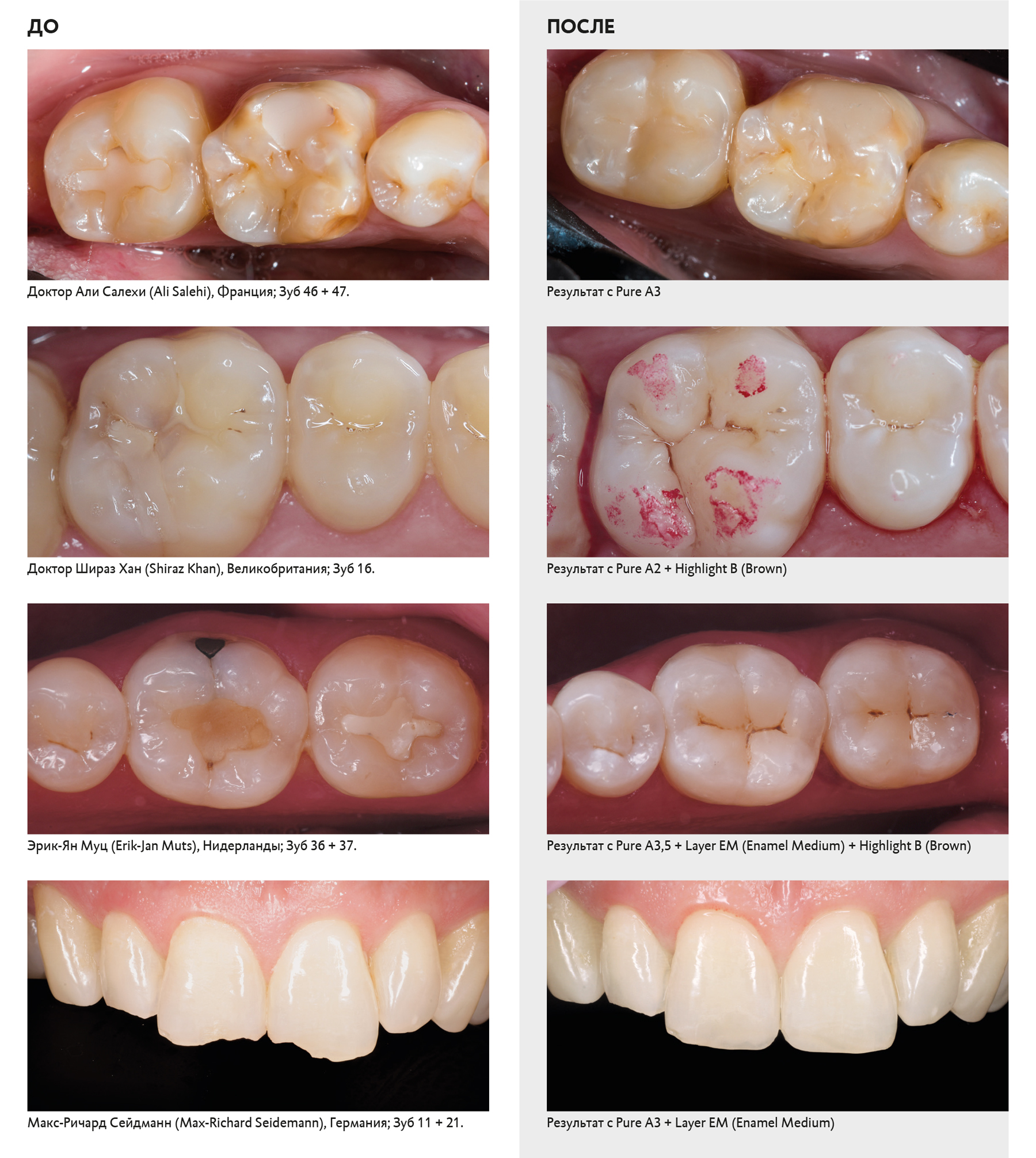
Даже проверенные решения могут быть усовершенствованы – Ecosite Elements с интуитивной концепцией подбора оттенков обеспечит вас всем необходимым для впечатляющих результатов. Его секрет – в интеллектуальной комбинации оттенков при использовании максимум трех модулей.
Материал позволяет создавать реставрации с натуральной эстетикой при работе в любой технике.
Интуитивно понятный, абсолютно практичный и в то же время удивительно эффективный. Исключительно быстрая полировка, огромное разнообразие комбинаций – оттенки, разделенные на три модуля, очень просто сочетать для достижения превосходных результатов. Какие бы требования вы не предъявляли к материалам для реставраций фронтальных и жевательных зубов, вы найдете все необходимое в этом материале. При необходимости вы можете легко воссоздать индивидуальные характеристики зуба с помощью тонкого слоя оттенков Highlight для естественных незаметных реставраций.
Ecosite Elements HIGHLIGHT: четыре характерных оттенка
Оттенки Highlight для воспроизведения индивидуальных особенностей
и маскировки изменений цвета

| Файлы | ||
| Инструкция | Загрузить | |
| Инструкция | ||
| Прочие | ||
| Артикул | 220817 | |